5

6 month Smiles

Six Month Smiles® is a modern twist on tried-and-true orthodontics. There is little debate within the orthodontic community that braces are the most widely used and most effective method to give patients straight, healthy teeth and a beautiful smile. Six Month Smiles has taken the best aspects of braces and modified the treatment and the materials to give adults a common-sense, cosmetic solution that fits your lifestyle.

 

If you have questions or concerns and wish to speak to Dr. Berman about your smile, please call the office @ 570-718-6000 and make an appointment for your FREE initial consultation.

 

Here is what makes Six Month Smiles so innovative ...

-Average treatment times of only six months
-Six Month Smiles' clear brackets and tooth-colored wires are barely visible
-Use of braces has shown to provide the most conservative and predictable final result
-Six Month Smiles Patient Tray Kits™ ensure that your appointments are fast and comfortable
-Low forces and short overall treatment time increases safety and hygiene
-Six Month Smiles is typically less expensive than traditional braces, Invisalign®, or veneers

 

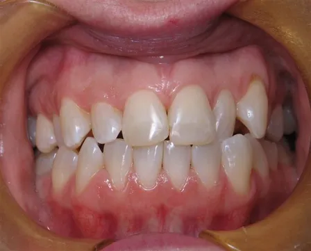
HERE ARE SOME OF MY START AND FINISHED PICTURES

 

Noreen before-closeup Noreen Start-face

 

Noreen Finished-closeup Noreen Finished-face

Treatment time: 7 Months

 

http://www.6monthsmiles.com